본문 바로가기
무지개다리 너머

4화. 네 번의 수술, 다시 서다

by 캣츠닥스 2025. 12. 6.
반응형
지난 이야기 (3화) : 따라오던 작은 발자국

죽음과 싸우고 있는 그를 정말 극적으로 도랑에서 구조하여 사택으로 데리고 와 서울에 있는 아내에게 SOS를 보냅니다. 다음날은 정말 눈이 많이 왔습니다. 아내는 미미와 초코를 데리고 눈길을 헤치며 내려옵니다.
처음 만난 또 낯선 사람. 그리고 친구들 둘. 자신의 모습과 또 다른 미미와 초코를 바라보는 또랑이는 아직 경계를 멈추지 않습니다. 하지만 지금 당장은 누군가를 의지하고 싶은 마음은 간절합니다.
아내는 그를 데리고 시골 병원을 갑니다. 부담가는 치료비, 처음 만난 사고로 다친 낯선 아이. 여러 생각이 올라왔지만 무엇보다 우선 살리기로 하고 급히 첫번 째 수술을 마칩니다. 그리고는 그를 데리고 서울로 향합니다.
🔙 3화로 가기 ◀ 따라오던 작은 발자국


서울 올라가는 차 안.
창밖엔 하얀 침묵이 계속 내리고,
차 안에는 미묘한 온기와 낯선 긴장이 감돌았다.

미미는 오래 지킨 집의 냄새를,
초코는 조용한 숨을 싣고 있었다.

또랑이는 마치 빚진 생명을 알기라도 하듯,
몸의 통증을 애써 삼키며
조심스러운 숨을 내쉬었다.



수술을 막 끝낸 다리는
아직 제 기능을 기억하지 못했다.

붕대는 고통을 감싸면서
또 다른 무게가 되어 있었다.

그런데도 또랑이는 울지 않았다.
고통을 표현한다는 것이 아직은 사치였을까.
창밖에 하얗게 내리는 침묵 위에
자신의 고요를 얹은 듯 보였다.

마치 ‘살아도 된다’는 허락을
놓치고 싶지 않은 표정처럼…



집에 도착했을 때,
미미가 먼저 고개를 들며 다가왔다.

오래 집을 지킨 아이.
공기처럼 익숙한 존재.

미미는 잠시 또랑이를 내려다보더니
이를 조용히 드러냈다.

‘여긴 내가 오래 지킨 자리야.’

초코는 그 뒤에서
묵묵히 바라볼 뿐이었다.

또랑이는 고개를 들지 않았다.
몸을 낮추고 등을 둥글게 말아 조용히 자리를 비켰다.

항변도, 서열 다툼도 없었다.
그건 패배가 아니라 품위였다.

아내는 그때 알았다.

‘아, 이 아이는…
사랑받을 줄 아는 아이구나.’



평온은 오래 가지 않았다.

밤이 오자,
뒷다리로부터 전해지는 통증이 온몸을 떨게 했다.

아내의 무릎 위에서 그는 조용히 몸을 웅크렸고,
그의 침묵 속 고통이
아내의 몸으로도 고스란히 전해졌다.

다음 날,
아내는 떨리는 손으로 그를 안고
W동물병원으로 향했다.



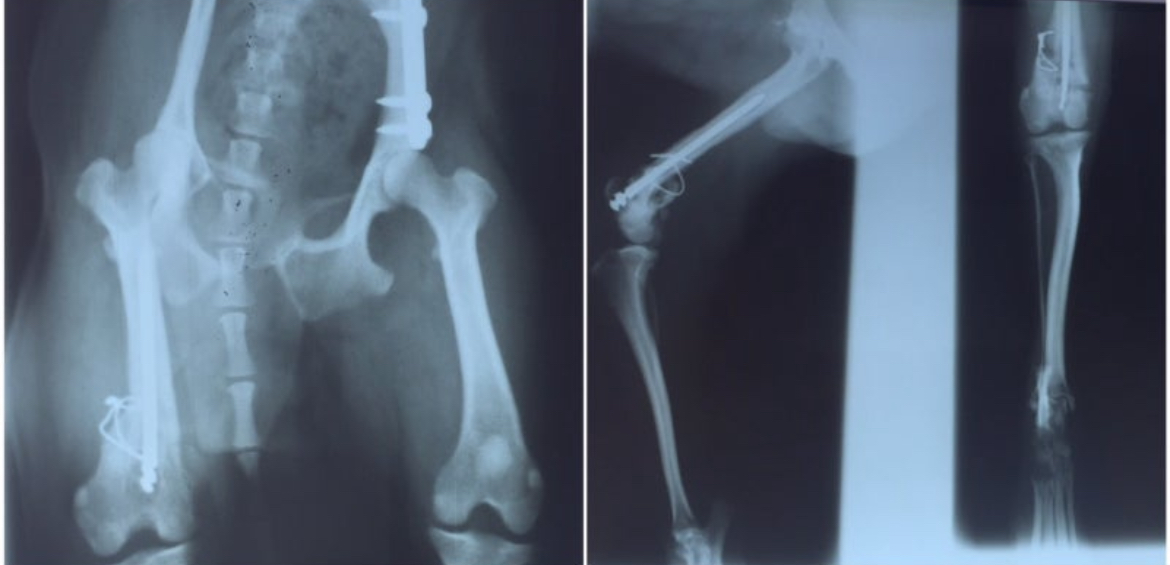
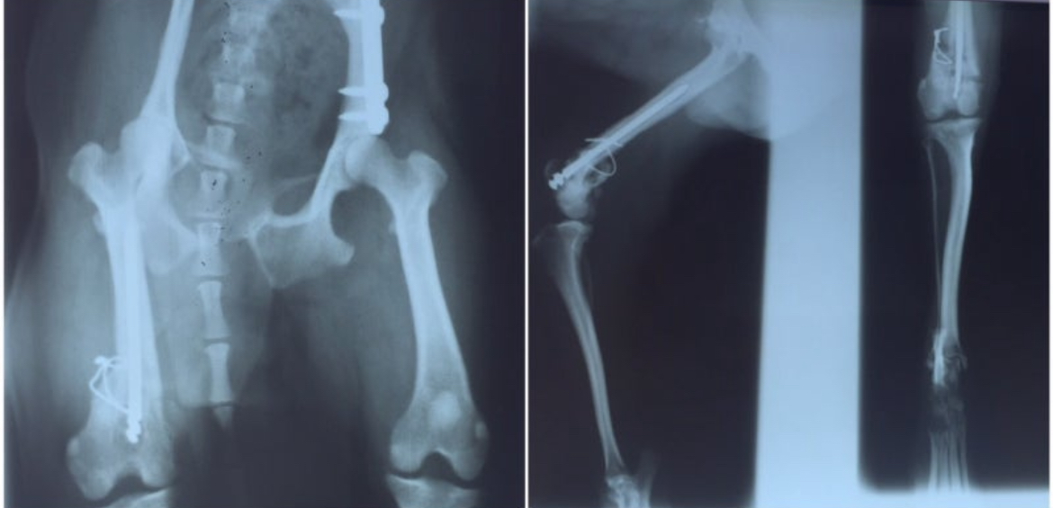
엑스레이 속 뼈는 얼기설기 이어져 있었다.
철사는 살을 찔렀고,
굳은 피가 근육과 엉켜 있었다.

수의사는 중얼거렸다.

“시대가 어떤 시댄데 이런 수술을…”

그는 다시 수술대 위에 올랐다.
마취가스 냄새, 스러지는 빛, 떨어지는 어둠.

그건 단 한 번의 구원이 아니라,
여러 번의 살아내기였다.

부서진 다리, 찢긴 뼈의 끝,
등의 오래된 검버섯 같은 검은 흔적.

모든 상처가 말했다.

‘나는 오래 버텼다.
그리고 이제, 살아보고 싶다.’

또랑이 뒷다리 둘다 교통사고(?) 후 골절 상태, 시골 병원에서 대충 얼기설기 철사로 묶어놓은 모습


두 번째 수술 후,
그는 천천히 돌아왔다.

초록 붕대가 작은 몸을 크게 감쌌다.
아직 부드럽게 만지지도 못했지만,
그날 그는 깊게 잠들었다.

아무도 쫓아내지 않고,
아무도 상처내지 않는 곳.

그날,
사랑이 처음으로 그 몸을 감싸기 시작했다.



한 달쯤 지나 다시 떨림이 왔다.
이번에도 경련이 심했다.

또 병원. 또 진단.

“다시 해야 합니다.”

사람으로 치면 종합병원 격인 N동물병원.
세 번째, 그리고 네 번째 수술.

그는 네 번의 칼을 견뎠다.
살아야 할 이유가,
아직 몸 안에 남아 있었기 때문이다.

오른쪽 뒷다리는 끝내 굽지 않았다.
앉을 때마다 그 다리를 쭉 편 채 있었다.

어정쩡한 모습이었지만,
그 안에 묘한 평온이 깃들어 있었다.

의사는 말했다.

“이 아이, 아직 두 살 남짓이에요.”

젊음이 그를 살렸다.
상처는 천천히 아물었고,
눈빛은 다시 맑아졌다.

parkeq77 | 인포크링크

parkeq77님의 링크페이지를 구경해보세요 👀

link.inpock.co.kr


그즈음,
미미의 경계도 누그러졌다.

또랑이는 앞서지도, 밀어내지도 않았다.
그저 함께 있었다.

시간이 흘러
서로의 체온을 배웠다.

집 안의 공기는
‘혼자 사는 공기’에서
‘같이 사는 공기’로 바뀌었다.

밤이면 그는 다리를 펴고 앉아
창밖을 바라보았다.

겨울 햇살이 방 안으로 스며들면
그의 꼬리가 천천히 움직였다.

그건,
살아 있음의 신호였다.




블로거의 생각 조각
사랑이 숭고한 것은
그것을 따로 계산하지 않기 때문이다.


🔜 5화로 가기 ⬇️

5화 : 노래하는 강아지, 직접 들어보세요!

지난 이야기 (4화) : ◀ 네 번의 수술, 다시 서다사택으로 내려온 아내는 지방 도시에서 급히 1차 수술을 하고 또랑이를 데리고 서울로 올라옵니다. 처음 만난 미미와 초코를 바라보는 또랑이. 그

www.catsandogs.co.kr

728x90
반응형
LIST